Male fertility gene discovery reveals path to success for sperm

A study, lead by Principal Investigator Donal O'Carroll of the Centre for Regenerative Medicine, has been published today in Molecular Cell.

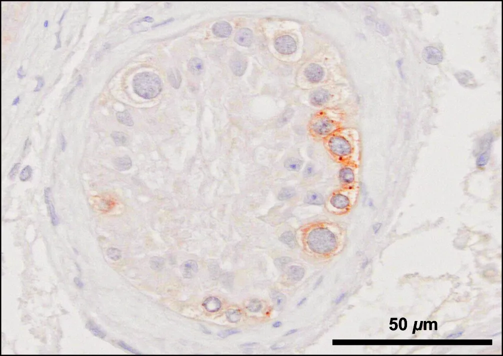
Image
Cellular imaging. Jumping genes (brown stain) attacking germ cell DNA (blue stain) in a human testis biopsy
Jumping genes (brown stain) attacking germ cell DNA (blue stain) in a human testis biopsy.

Discovery of a pair of genes that work in perfect harmony to protect male fertility, could provide new insights into some unexplained cases of the most severe form of infertility, research suggests.

Genetic analysis of cases of male infertility revealed that rare mutations in a gene, known as SPOCD1, disrupts the formation of healthy sperm during the earliest stages of their development. The gene was also found to work in partnership with a previously unknown gene, C19orf84, to protect the early-stage precursors to sperm, known as germ cells, from damage. The discovery of the essential role of these two key genes could provide the answer to some cases of the most severe forms of male infertility and lead to expanded genetic screening for rare mutations, researchers say.

In collaboration with researchers at the University of Münster and other partner universities, the team in the Centre for Regenerative Medicine, led by Donal O'Carroll, screened international databases containing genetic data from 2913 men involved in studies on infertility. They identified three men who carried faulty versions of the SPOCD1 gene which resulted in damage to germ cells that prevented healthy sperm development – this failure to launch led to infertility.

This was a wonderful collaborative project that led to the discovery of new genetic causes of male infertility. We also advanced our understanding of a process that is fundamental to healthy sperm cell development. These mechanistic insights are leading to a better understanding of the elusive process that allows developing sperm to preserve their genetic integrity and escape an early death.

Professor Dónal O'Carroll
Lead author of the study, Centre for Regenerative Medicine, University of Edinburgh

A truly collaborative achievement, this study enhances our understanding of male infertility on the molecular and genetic level. I am particularly proud that so many co-authors joined efforts and contributed their expertise. We demonstrate strong evidence for SPOCD1 to be included in genetic screenings of male infertility patients. Providing a genetic diagnosis can help provide closure to affected individuals and potentially prevent unnecessary medical procedures.

Dr Ansgar Zoch
Frst and co-corresponding author of the study, Centre for Regenerative Medicine, University of Edinburgh

The study, published in Molecular Cell, was funded by Wellcome. It also involved researchers from University of Oxford, University Hospital Münster, The University of Melbourne, Oregon Health and Science University, University of Utah and Technische Universität Berlin.

Read Donal O'Carroll's research page